Research Article
Range Finding and Definitive (Acute) Test of Caterpillar Granules on Clarias gariepinus Fingerlings
1,2Department of Fisheries and Aquaculture Management, Ekiti State University, Ado Ekiti, Nigeria
3Department of Agricultural Science, University of Ilesa, Ilesa, Osun State, Nigeria
*Corresponding author: Akin-Obasola BJ, Department of Fisheries and Aquaculture Management, Ekiti State University, Ado Ekiti, Nigeria, E-mail: bola.akinobasola@eksu.edu.ng
Received: September 23, 2022 Accepted: October 25, 2022 Published: November 08, 2022
Citation: Akin-Obasola BJ, Dominic DN, Oyekanmi FB. Range Finding and Definitive (Acute) Test of Caterpillar Granules on Clarias gariepinus Fingerlings. Madridge J Aquac Res Dev. 2022; 3(1): . doi: 10.18689/mjard-1000110. Madridge J Aquac Res Dev. 2022; 3(1): 49-55. doi: 10.18689/mjard-1000110
Copyright: © 2022 The Author(s). This work is licensed under a Creative Commons Attribution 4.0 International License, which permits unrestricted use, distribution, and reproduction in any medium, provided the original work is properly cited.
Abstract
The non-definitive and acute test of caterpillar granule on Clarias gariepinus was carried out for 24 and 96 hours respectively. The concentrations used in the range finding test were 0, 10,15,20,25,30g/10 litres of water while 0, 10, 12, 14 and 16g/10 litres of water in acute toxicity test. The lethal median concentration (LC50) in the acute test was graphically determined to be 10.5g/10litres. The results revealed that as the concentration of caterpillar granule increases, the number of mortality increased. The histological analysis of caterpillar granules effects on the gill, skin and liver at 0g/10L of water appeared normal while at lower concentration (10g/10L) the skin was un-deformed. The epidermal cells of the skin were altered greatly in concentrations 12, 14 and 16g/10L of water. At concentrations 10, 12, 14 and 16g/10L of water the gill architecture was altered. The gill lamellae were extensively fused together while the gill filament, raker and lamellae of Clarias gariepinus were totally destroyed at higher concentrations. There was degeneration in the hepatocytes of Clarias gariepinus exposed to 12, 14 and 16 g/10L toxicants thus leading to death of the fish. The higher the concentration of caterpillar granules in the experiment, the more the behavioral changes experienced by the fish. Water quality was poor in treatments with higher concentrations as the day of experiment progresses especially the dissolved oxygen level which reduced greatly at day four (4) of the 96 hour bioassay.
Keywords: Aquaculture, Clarias gariepinus, Caterpillar Granules
Introduction
Aquaculture is the fastest growing food producing sector (Gratacap et.al, 2019) which account for nearly 53 percent of the worldʼs food fish and serves as a protein diet to be consumed worldwide (Barange, et.al,2018). Fish protein represents a crucial nutritional component in some densely populated countries where total protein intake levels may be very low. (Fakoya et.al, 2021). In Nigeria, fish production over the years has not adequately bridged all the demand supply gap. (Olaifa et.al, 2022).
Clarias gariepinus of the family Clariidae and Phylum Chordata is indigenous to the inland waters of Africa and they are also endemic in Asia and minor in countries such as Israel, Syria and the south of Turkey (FAO 2015).The rearing of the African catfish, Clarias gariepinus in Africa started in the early 1970s in Central and Western Africa, as it was realized to be a very suitable species for aquaculture as it grows fast and feeds on a large variety of agriculture byproducts. It is hardy and tolerates adverse water quality conditions. It can be raised in high densities, resulting in high net yields (6–16 t/ha/year). In most countries, it fetches a higher price than tilapia, as it can be sold live at the market. It matures and relatively easily reproduces in culture environment and tolerates difficult conditions in aquaculture (Akin-Obasola, 2019a).
The pest Fall armyworm (FAW) Spodoptera frugiperda (Lepidoptera: Noctuidae) is an invasive pest in Africa continent (Sisay et.al, 2018. The pest is very difficult to control and Caterpillar granules remain the main option in controlling its invasion. Armyworm originated from the Western hemisphere (United States), where it was first reported in 2016 (Nagoshi et.al, 2018). It is now well distributed in many West and Central African countries with regular seasonal outbreaks. The Fall, armyworm was initially detected in Benin, Nigeria, Sao Tome, and Principe, Togo, and the pest has since spread to at least 20 other countries in sub-Saharan Africa. This pest attacks a wide variety of crops, but gramineous plants are most preferred especially in maize (Nagoshi et.al, 2018). During plant vegetative growth stage, larvae primarily feed on leaves reducing photosynthetic area. Crop seedlings are most affected resulting in reduced plant stands and significant yield loss. Staple crops, like maize, sorghum, rice, and sugarcane are severely damaged, but the fall armyworm can ravage more than 80 other plant species with economic losses being estimated at about $13 billion in Africa (Moki, 2017).
Emerging threats from the FAW has severe consequences to small holder farmers in terms of reduction of income as result of crop yield loss or even total crop failure. Unfortunately, to get good protection of the host crops, farmers need to apply big amount of pesticide as the larvae feed deep in the whorl of maize plant or they need to apply multiple combinations of chemicals. This results in the accumulation of pesticides residues in the environment where they are applied with potential effects on humans, non-target organisms, and biodiversity (Nagoshi et.al, 2018).
Pesticides that are applied in agriculture may distribute into soil sediments, water, and air, and become toxic to organisms that inhabit these compartments (Leonard, 1990). Indeed, contamination by pesticide residues constitutes a major public issue. The Food and Agriculture Organization of the United Nations (FAO) and the World Health Organization (WHO) have taken action to set permissible residue limits for pesticides and their derivatives. Most of the pesticide manufacturers are subjected to respect chemical production standards. Despite these measures, pesticides residues are found in soil, foods, and other goods due to the misuse, abuse, or overuse making them stored in soil hence the reason for this research (Braun et.al, 2018).
Andro quick kill is an easy to use caterpillar granule which penetrates the soil to kill damaging insects such a caterpillar, grubs and mole crickets below the surface and also kills surface insects such as ants, spiders, fleas and ticks. This is used by spreading the granule and it is spread over the entire farm to kill listed pests in just 24 hours and keep them away for at least up to 3 months. It kills in just 24 hours, it kills up to 100 listed insects, it kill cockroaches, crickets, silverfish, ground beatle, last beetles, centipedes, chiggers ear wings. It treats up to 10,000 square kilometers (Ambrands, 2020).Uncontrolled use of herbicide in Nigeria has resulted in pollution of water bodies (Joseph, 2020) which has posed great risk in aquatic animals such as Clarias gariepinus which is a major source of protein in Nigeria. These herbicides cause sustainable mortality change in composition of fish species, loss of abundance; it also affects the physiologic and sometimes causes mass mortality in fish. Herbicides therefore had been used without evaluating its negative impact on fish which result in poisoned organs. This obstructs the metabolism and excretion of fish and chemical compounds are found in fish bodies which can cause poisoning when consumed by man.
Herbicides and pesticides are used to control weeds and pests. Both of them also contribute to water pollution (Khare, 2018). Their leaching also pollutes ground water. Leaching is influenced by soil texture, pesticide properties, irrigation and rain fall. If soil is sandy and pesticide is water soluble more will be the leaching. Similarly pesticides and herbicides also reach natural water bodies through runoff. These pesticides and herbicides residues when introduced to natural water bodies disturbs flora and fauna. Pesticides which do not mortify easily or take time to mortify are more harmful (Sarangi and Rajkumar et.al, 2022).
Little work has been done on the effect of caterpillar granule on Clarias gariepinus in Nigeria, and the need to establish the LC50 of caterpillar granule cannot be over emphasized. Also information on the histopathological changes induced by caterpillar granules is of high importance to farmers. The main objective is to determine the sub-lethal and lethal effect of caterpillar granules on Clarias gariepinus fingerlings and the specific objectives are to: asses the safe level (LC50) of caterpillar granule on Clarias gariepinus (juvenile), determine the acute toxicity of caterpillar granule on Clarias gariepinus (juvenile), analyze the sub-lethal concentration of caterpillar granules on Clarias gariepinus (juvenile) and assess the effects of gills, heart, liver, and skin of Clarias gariepinus.
Materials and Methods
The experiment was carried out at the department of Fisheries and Aquaculture Management, Ekiti State University, Ado Ekiti, Ekiti State, using 15 rectangular glass tanks (26 × 20 × 30) cm each filled with 10litres of water. Caterpillar granule was purchased at Ado Ekiti, Ekiti State and conveyed to the departmental laboratory of Fisheries and Aquaculture Management, Ekiti State University, Ado Ekiti, Ekiti State.
Preparation of caterpillar granule
Grams of caterpillar granules fine powder sample was added directly to 10 liters of water used for all the treatments. The brownish liquid obtained was mixed together thoroughly using oratory and drop spreaders. These was labeled and used immediately.
Experimental design
Apparently healthy 300 juveniles of Clarias gariepinus of the same genetic stock was obtained from a reputable fish farm in Ado Ekiti, Ekiti State and then used for the experiment. The fish was acclimatized for 7 days before the commencement of the experiment. Six (6) treatments were used for range finding test while five (5) treatments were used for definitive (acute toxicity) test and each treatment had three replicates each.
Range finding test experimental design
This is the preliminary test. The range finding test was conducted on Clarias gariepinus following a static bio assay procedure described by Parish (1985) to determine the toxic change in Clarias gariepinus exposed to different levels of caterpillar granules. The range finding test was done using six (6) treatments. Treatments 1, 2, 3, 4, 5 and 6 used are; 0g/10L, 10g/10 L, 15g/10L, 20g/10L, 25g/10L and 30g/10L respectively. The mixture of the test materials were prepared by weighing Caterpillar granules (powder) using Top loading Metler balance, these were added to 10 liters of water. The mixture was allowed to dissolve for 15 minutes before adding Clarias gariepinus fingerlings. The fish were weighed using Top loading Metler balance and introduced at the same time into rectangular glass tank water (10 liters) already containing the mixture of the test materials at different concentrations. The experiment was monitored at 3 hoursʼ interval and lasted for 24 hours.
Acute toxicity test
The Acute toxicity test was conducted under standard bio-assay procedure with five (5) treatments (0, 10, 12, 14 and 16 g/10 Liters). Experimental design used in range finding test was also applied in definitive test. Mortality was monitored for 96 hours and temperature, pH and dissolved oxygen level were monitored using standard methods. The histological analysis of some organs of Clarias gariepinus were studied in order to determine the toxic effect of caterpillar granule herbicide on them after four (4) days the fish were weighed and two fish were taken from each tank, killed by decapitation and the gill, liver, heart and skin were removed, sectioned and examined. The organs were fixed in formalin saline solution. The organs were put in cassettes after which they were embedded in wax, trimmed and sectioned. Sections were fixed on clean slides and stained with haemotoxylin and eosin stains. Photomicrographs were taken with Heitz (Ortholux II) microscope and camera, standard model, BHTVIII. All the results were analyzed using Duncan multiple range test and difference between means were determined using Turkey post Hoc test.
Results
Range finding test
Table 1 showed that, mortality increased as the concentration and number of hours increased. High mortality (100 %) was recorded at concentration 30g/10L while after 24 hours into the experiment; concentration 25g/10L had 100% mortality. Concentration 10g/10 Liters had the lowest mortality of 50 % while concentration 15g/10L had 60 %; these range of mortality informed the concentration used in definitive test.

The definitive test (Acute toxicity test)
As shown in table 2, the results revealed that as the concentration of Caterpillar granules increases, the percentage of mortality also increased. Within the first 24 hours, mortality rate was at the average percentage in concentrations 12g/10 L and 14g/10 L but as the time increased to 96-hour, mortality increased with increased concentration. At concentration 16g/10 L, the highest mortality of 100% was recorded at 96 hours into the experiment while 30, 70 and 90 % total mortality were recorded in concentrations 10, 12 and 14g/10 Liters respectively.

Behavioral Changes in Acute toxicity test
As shown in the Table 3, the higher the concentration of Caterpillar granules the fish were exposed to, the more the behavioral changes experienced by the fish. The fish showed erratic swimming pattern, loss of reflex, discoloration and no reaction to external stimuli, these reactions increased with increase in concentration. However, at concentration 10g/10L, there was no form of erratic swimming and loss of reflex in the fish but when the concentration increased to 14 and 16g/10L, there was an abnormal increase in hyperventilation, discoloration and erratic swimming of the fish.

Water quality analysis
Water analysis (apart from the control experiment) showed that there were little differences in temperature, pH and dissolved oxygen values of all the water used throughout the period of the experiment.

Median lethal concentration (LC50)
A stressed condition was experienced immediately the toxicant was introduced into the water. Mortality increased within the first 24 hours as the concentration of the toxicant increased. At concentrations less than 10g/10L, the mortality rate was less than 50% but increased greatly to 75-100% at concentrations higher than 12g/10L. The 96 hours LC50 was recorded graphically at 10.5g/10 L concentrations as shown in Figure 1.

Histopathological findings
The histopathological findings on the gills, skin as well as the liver of Clarias gariepinus exposed to different concentrations (0, 10, 12, 14 and 16 g/10L of water) of Caterpillar granules is as shown in the Plates 1 to 3.
Gills of C. gariepinus exposed to Caterpillar granules
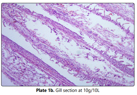
Plate 1a shows, the gills at concentration 0g/10L, both the lamellae and the gill filaments were visible with the gill filaments well separated from each other. Plate 1b shows the gill architecture was destroyed and the gill lamellae extensively fused together. Plates 1c, 1d and 1e revealed that the gill filament, raker and lamellae of the fish were totally destroyed.
The gills of C. gariepinus (Magnification = X100)





Plate 1(a-e). Histopathological changes in the gills of Clarias gariepinus exposed to Caterpillar granules
Skin of Clarias gariepinus exposed to Caterpillar granules
The skin at 0g/10L of Caterpillar granules appeared normal while at a lower concentration (10g/10L), it was un-deformed and the peeling of the skin was not pronounced. The colour of the fish skin changed and took after the colour (milk brown) of the tested material (Plates b, c, d and e) in all the concentrations except the control experiment. The epidermal cells were also deformed in concentrations 10, 12, 14 and 16g/10L of water.
The skin of Clarias gariepinus (Magnification = X100)





Plate 2 (a-e). Histopathological changes in the skin of Clarias gariepinus exposed to Caterpillar granules
Liver of Clarias gariepinus exposed to Caterpillar granules
The liver tissues of C. gariepinus exposed to 0g/10L of water showed normal hepatocellular architecture. The higher concentration of Caterpillar granule showed moderate to severe cytoplasmic vacuolation and peripherally placed nuclei. There was degeneration in the hepatocytes of C. gariepinus exposed to 10, 12, 14 and 16 g/10L toxicants thus leading to death of the fish.
Liver of C. gariepinus (Magnification = X100)





Plate 3 (a-e). Histopathological changes in the liver of C. gariepinus exposed to Caterpillar granules
Discussion
There were deformation in the skin of C. gariepinus exposed to different levels of Caterpillar granule and this agrees with Akin-Obasola, (2019b) who recorded deformation in the epidermal cells in the skin of Clarias gariepinus when exposed to higher concentrations of petrol and engine oil mixture tested for acute and sub-lethal effects.
In acute toxicity, total mortality was recorded in the highest concentration, this agrees with Shastry and Sharma, (1979) who recorded total mortality within 24 hours when copper concentrations of 2.61 and 5.60 mg/l were used on juvenile red drum, Sciaenopsocellatus and 97% mortality within 24 hours when 1.36 mg/l of copper was used. African catfish (Claria gariepinus) exposed to different levels of Caterpillar granules had the presence of the toxicant in the gills, skin and liver. This suggests that these organs could be useful as a marker for the presence of toxicants in the aquatic environment, this work corroborates Ray et.al, (1999) who recorded a high concentration of mercuric in the liver and other organs of Clarias gariepinus while the concentration of mercuric in the tissues increased with its concentration in the aquatic environment and exposure time.
The fish showed erratic swimming pattern, loss of reflex, discoloration and no reaction to external stimuli, these reactions increased with increase in concentration. This is similar to the report of Shastry and Sharma, (1979) when Channa obscura was introduced to a sub-lethal concentration of 10.01 mg/L eldrin where increased physical activity, convulsion, excess secretions of liver tissues, erratic swimming, respiratory ruptured of blood vessels, paralysis, sudden quick movement was recorded.
Dissolved oxygen reduced as the concentration of toxicant increased; this report is similar to Duffus, (1980) where environmental toxicology was studied.
The percentage and number of survivors decreased with increasing concentrations of toxicant in the water. Also, the accumulation of Caterpillar granules in fish tissue increased with increasing toxicant concentration in water. The result of this study agreed with that of Olaifa et.al, (2003).
RECOMMENDATION AND CONCLUSSION
Recommendation
The ecological effects of pesticides (and other organic contaminants) are varied and are often interrelated. Effects at the organism or ecological level are usually considered to be an early warning indicator of potential human health impacts. The major types of effects are;
Death of organism, cancers, tumors and lesions on fish and animals, reproductive inhibition or failure, suppression of immune system, disruption of endocrine (hormonal) system, cellular and DNA damage, teratogenic effects (physical deformities such as hooked beaks on birds), poor fish health marked by low red to white blood cell ratio, excessive slime on fish scales and gills, intergenerational effects (effects are not apparent until subsequent generations of the organism) and other physiological effects such as egg shell thinning.
These effects vary depending on the organism under investigation and the type of pesticide. Different pesticides have markedly different effects on aquatic life which makes generalization very difficult. The important point is that many of these effects are chronic, are often not noticed by casual observer yet have consequences for the entire food chain.
Except for nitrogen which is usually found in groundwater in agricultural areas, surface runoff is the primary contributor of agricultural chemicals, animal wastes, and sediment to river channels. The results of the present study indicate that Caterpillar granules, a pesticide used in controlling army worm in maize cultivation, when carried by running water into fish farms, streams, rivers and so on exacts toxic effects on fish. The 96h LC50 value for Clarias gariepinus suggest that the fish showed a quick response to the toxicant therefore, the safe level (LC50) of 10.5 g/10L is recommended to fish farmers.
Conclusion
In conclusion, the results have shown that Caterpillar granules is toxic to Clarias gariepinus at all concentration therefore, more control on its disposal is advocated. There is a need for more work to set maximum permissible levels of pesticides such as Caterpillar granules for fish meant for human consumption in Nigeria.
References
- Akin-Obasola BJ. Range finding, acute and sublethal test of petrol and engine oil mixture on African catfish, Clarias gariepinus (Burchell, 1822). Int J Fish Aquac Studies. 2019b ; 7: 16-20.
- Ambrands. Amdro Quick Kill Outdoor Insect Killer Concentrate. 2020.
- Barange M, Cochrane KL. Impacts of climate change on fisheries and aquaculture: conclusions. FAO Committee on Fisheries. 2018; 611.
- Braun G, Sebesvari Z, Braun M, Kruse J, Amelung W, An NT, Renaud FG. Does sea-dyke construction affect the spatial distribution of pesticides in agricultural soils?–A case study from the Red River Delta, Vietnam. Environmental Pollution. 2018; 243: 890-899. doi: 10.1016/j.envpol.2018.09.050
- Eileen MP, William RW, James WA, Guthrie WP. Toxicity of chelated copper to juvenile Reddrum Sciaenops ocellatus. Journal of the World Aqua Society. 1991; 3: 101-108. doi: 10.1111/j.1749-7345.1991.tb00722.x
- Fakoya KA, Abiodun-Solanke AO, Mangai EO. Implications of Production, Post-harvest and Consumption of Fish on Food and Nutrition Security: Nigeria as a Focal Country. Food Security and Safety. 2021; 355-374. doi: 10.1007/978-3-030-50672-8_20
- Gratacap RL, Wargelius A, Edvardsen RB, Houston RD. Potential of genome editing to improve aquaculture breeding and production. Trends in Genetics. 2019; 35(9): 672-684. doi: 10.1016/j.tig.2019.06.006
- Ioannis K, Konstantinou DGH, Triantafyllos AA. The status of pesticide pollution in surface waters (rivers and lakes) of Greece. Part I. Review on occurrence and levels. Environmental Pollution. 2006; 141(3): 555-570.
- Joseph J, Ishaku H, Buba Z. Evaluation of herbicide use by farmers in south and north of mubi local government areas, Adamawa state, Nigeria. Bima Journal of Science and Technology 2020; 4(02): 59-65. doi: 10.56892/bimajst.v4i02.196
- Khare S. Pesticide contamination in India and its health effects. International Journal of Scientific and Technical Research in Engineering. 2018; 3: 8-14.
- Leonard RA. Movement of pesticides into surface waters. Pesticides in the soil environment: processes, impacts and modeling. 1990; 2: 303-349. doi: 10.2136/sssabookser2.c9
- Nagoshi RN, Goergen G, Tounou KA, Agboka K, Koffi D, Meagher RL. Analysis of strain distribution, migratory potential, and invasion history of fall armyworm populations in northern Sub-Saharan Africa. Scientific reports. 2018; 8(1): 1-10. doi: 10.1038/s41598-018-21954-1
- Olaifa FE, Olaifa AK, Lewis OO. Toxic Stress of Lead on Clarias gariepinus (African Catfish) Fingerlings. African Journal of Biomedical Research, 2003; 6: 101-104. doi: 10.4314/ajbr.v6i2.54032
